Dental Bridges In Otford
Bridges are an excellent option for replacing missing teeth, offering both functionality and a natural appearance. At our clinic, we provide various types of dental bridges in Otford, including options that require no drilling. These restorations work by using adjacent teeth for support, effectively filling the gap left by a lost tooth. With durable materials and expert craftsmanship, bridges in Otford provide a long-lasting and seamless solution to restore your smile.
Bridges can be a fantastic alternative to dentures and dental implants in Otford when done correctly. One of their biggest advantages is that they are fixed in place, meaning they are not removable like dentures. This provides a secure and stable solution that feels incredibly natural—just like your own teeth. With a well-fitted dental bridge in Otford, you can enjoy restored function, confidence, and comfort without worrying about movement or discomfort.
- Missing teeth
- Smile makeovers
- Natural feeling replacements
- Improve chewing
- Improve bite
- Unsuitable for implants
Who Is Bridges Suitable For?
If you have missing teeth, dental bridges in Otford offer an excellent solution to restore your smile. When a tooth is lost, the surrounding teeth may gradually shift out of alignment, which can lead to further oral health complications. As a result, a bridge helps fill the gap, preventing these issues while also improving your ability to chew and speak comfortably. Moreover, bridges support the natural structure of your face, helping to maintain a youthful and confident appearance.
At the same time, we use high-quality materials to craft dental bridges that seamlessly blend with your existing teeth, ensuring both durability and aesthetics. Throughout the process, our experienced dentists will guide you, explaining the benefits and ensuring a perfect, comfortable fit. By choosing dental bridges in Otford, you not only restore your smile but also protect your long-term oral health.
Book your appointment today at AR Smiles Otford – Dental & Implant Centre to find out how a dental bridge can restore your smile and confidence. Our team is ready to provide expert care and personalised treatment tailored to your needs.
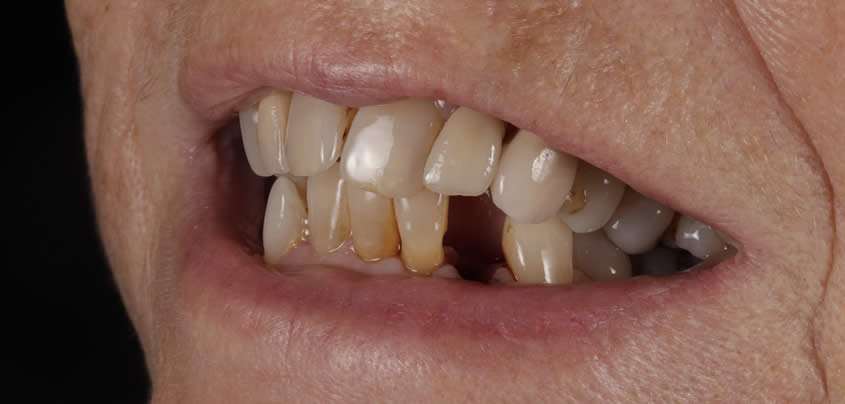
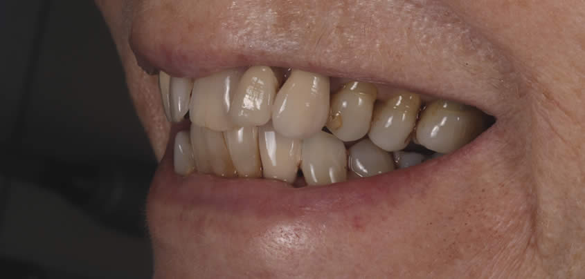
Patient Bridges Cases
Crowns - Case 1

FREE Consultations for Cosmetic Treatments
Teeth straightening, cosmetic dentistry, and facial rejuvenation treatments
Align Your Smile, Align Your Confidence - AR Smiles Invisalign in Otford
Transform your teeth without metal braces using clear, comfortable aligners tailored to your unique smile. Our expert team in London provides personalized Invisalign treatments for a confident and natural-looking smile transformation. Schedule your consultation today and discover the benefits of Invisalign in Otford at AR Smiles.