Dentures In Otford
Dentures have come a long way, and at AR Smiles Otford – Dental & Implant Centre, we specialise in the latest advancements to provide high-quality dentures in Otford . Our expertly crafted acrylic and chrome dentures ensure a secure, comfortable fit, helping patients regain confidence and enjoy life without worrying about missing teeth.
While some may consider bridges or dental implants, our focus is on delivering well-fitted dentures that restore function and aesthetics with ease. With our customised approach, eating, speaking, and smiling feel effortless again. Why let tooth loss hold you back when modern dentures in Otford can transform your daily life?
At AR Smiles Otford – Dental & Implant Centre, our experienced team specialises in high-quality dentures in Otford, providing expert care for patients with both new and existing sets. As a leading dentist in Otford, we recognise that dentures are a highly personalised solution, tailored to each patient’s unique needs. That’s why we take the time to ensure every set is crafted with precision, offering a comfortable, secure fit that enhances both function and appearance. With our meticulous attention to detail, we help restore confidence and improve quality of life for our patients.
Reasons for Dentures
- Replace teeth
- Temporary replacements
- Smile improvements
- Improve chewing
- Replacement for teeth in cases of gum disease
- Reduced cost compared to implants
Patient Cases
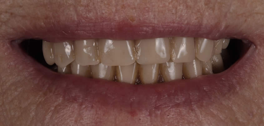
Case 1

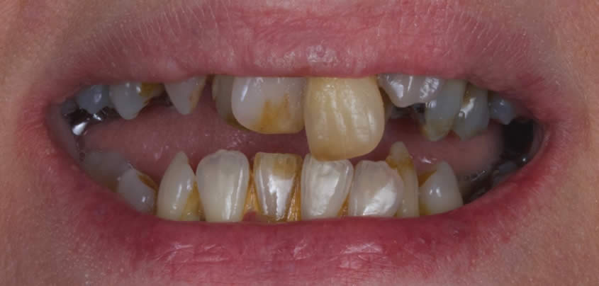
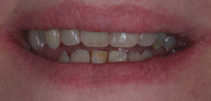
Case 2

Acrylic Dentures
Acrylic dentures feature a durable plastic base designed to fit comfortably in your mouth while replacing missing teeth. At AR Smiles Otford – Dental & Implant Centre, we offer acrylic dentures in Otford that are equipped with lifelike artificial teeth, closely mimicking the appearance of natural ones. Additionally, as a trusted dentist in Otford, we can adjust, modify, and repair these dentures over time to ensure they maintain a secure and comfortable fit. Whether used as full dentures or a provisional solution, acrylic dentures provide flexibility, durability, and a long-lasting way to restore your smile with confidence.
Chrome Dentures
Chrome dentures feature a durable metal base with high-quality plastic teeth attached, offering exceptional strength and stability. Often considered the gold standard, they provide superior comfort, especially for patients who still have some natural teeth. Additionally, their design ensures a natural look and feel, making them a reliable and aesthetically pleasing solution for restoring both function and confidence. For those seeking chrome dentures in Otford, this option delivers durability and long-term performance while seamlessly blending with existing teeth.
Immediate Dentures
In emergency situations where a patient urgently needs to replace a missing tooth, we provide immediate dentures in Otford as a temporary solution. These are typically designed for front teeth and can be crafted within just a few days, ensuring a fast and effective restoration. This quick turnaround helps prevent the embarrassment of a visible gap, allowing patients to regain their smile and confidence without delay.
FREE Consultations for Cosmetic Treatments
Teeth straightening, cosmetic dentistry, and facial rejuvenation treatments
Align Your Smile, Align Your Confidence - AR Smiles Invisalign in Otford
Transform your teeth without metal braces using clear, comfortable aligners tailored to your unique smile. Our expert team in London provides personalized Invisalign treatments for a confident and natural-looking smile transformation. Schedule your consultation today and discover the benefits of Invisalign in Otford at AR Smiles.