What Is Dental Rehabilitation?
Dental rehabilitation in Otford encompasses a range of treatments designed to restore the health and appearance of your teeth and gums. Using our expertise, personalised treatment plans, advanced tools, and the latest restorative techniques, we can enhance both function and aesthetics. Our goal is to help you regain confidence in your smile while ensuring optimal oral health. The Benefits:
The Benefits of Dental Rehabilitation:
- Better oral health that is easier to maintain
- A beautiful smile to be proud of
- A significant boost in self confidence
- The chance to enjoy eating, talking and smiling again without worry
Rehabilitative Dentistry in Otford
We offer expert rehabilitative dentistry in Otford to restore your smile and improve your oral health. By bringing your teeth back to their optimal condition, we help you regain confidence and enjoy a better quality of life.
Every patient has unique dental needs, which is why a dental rehabilitation plan in Otford is tailored specifically to you. This customised approach may involve multiple treatments, carefully designed to suit your lifestyle and personal smile goals. By addressing your individual concerns, we help restore both the function and appearance of your teeth, ensuring long-term oral health and confidence.
The First Step Is A Consultation
Your dental rehabilitation plan in Otford may include cosmetic treatments like teeth whitening with veneers to enhance your smile. By combining restorative and cosmetic dentistry, we create a healthier, more confident smile tailored to your needs. During the consultation we will:
- Perform a detailed examination of the teeth, gums, face and jaw
- Ask about your medical history and oral health history
- Discuss your lifestyle and any habits that may impact your oral health
- Listen to your oral health concerns and goals
- Answer any initial questions you may have
We may also take some X-rays and other diagnostics during the consultation, if they are appropriate.
Next Steps
Based on our assessment, we will create a bespoke dental rehabilitation plan in Otford, providing a clear breakdown of treatments and transparent costs. The plan is carried out over multiple visits, ensuring the best results for your oral health and smile. It all starts with a consultation—call our friendly team on 019 59 52 2509 to book your appointment today with a dentist in Otford at AR Smiles Otford – Dental & Implant Centre
Different Dental Rehabilitation Treatments
Multiple procedures can be included in dental rehabilitation including:
- Dental implants
- Crowns
- Bridges
- Veneers
- Dentures (full or partial)
- Periodontal treatment
- Gum contouring
- TMJD treatment
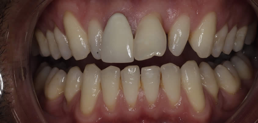
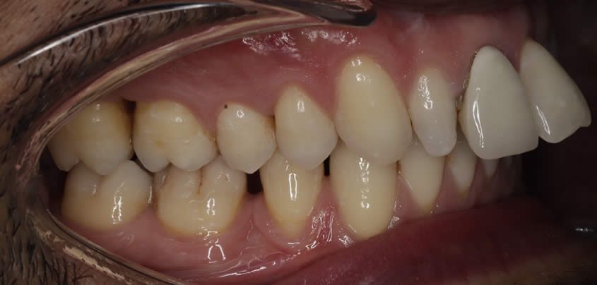
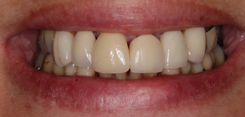
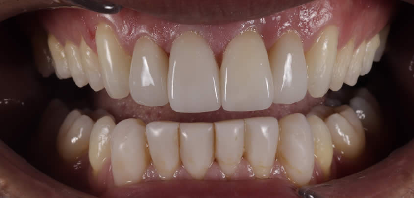
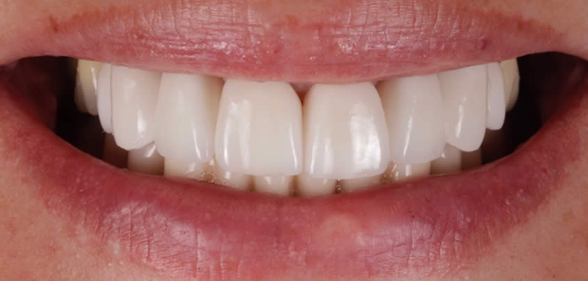
Patient rehabilitative dentistry cases
Case 1

Case 2

Case 3

Your Dental Rehabilitation Plan
Your dental rehabilitation plan in Otford may also include cosmetic treatments that complement restorative work, such as teeth whitening alongside veneers for a complete smile transformation. We take a comprehensive approach to rehabilitative dentistry, combining advanced restorative techniques with cosmetic enhancements to achieve a healthier, more confident smile. By tailoring treatments to your unique needs, we ensure long-lasting results that improve both function and aesthetics.
FREE Consultations for Cosmetic Treatments
Teeth straightening, cosmetic dentistry, and facial rejuvenation treatments
Align Your Smile, Align Your Confidence - AR Smiles Invisalign in Otford
Transform your teeth without metal braces using clear, comfortable aligners tailored to your unique smile. Our expert team in London provides personalized Invisalign treatments for a confident and natural-looking smile transformation. Schedule your consultation today and discover the benefits of Invisalign in Otford at AR Smiles.