Orthodontics
AR Smiles Otford – Dental & Implant Centre is pleased to offer expert orthodontic services for patients with misaligned bites, occlusion, and overcrowded teeth. Our team is dedicated to providing personalised orthodontic care to help you achieve a healthier and more confident smile through expert orthodontics in Otford.
At AR Smiles Otford – Dental & Implant Centre, we are proud to have a highly trained, GDC-registered orthodontic specialist providing a comprehensive range of orthodontic treatments in Otford for both adults and children. With extensive experience, we manage even the most complex orthodontic cases safely and effectively.
Our commitment to delivering gold-standard orthodontic care, alongside the latest technology and advanced solutions, ensures that straight, healthy teeth are achievable for every patient at AR Smiles. This approach not only improves your overall dental health but also boosts your confidence, giving you the smile you’ve always wanted.
General Orthodontics
At AR Smiles, we provide expert orthodontic treatment for patients of all ages, with personalised care tailored to meet individual needs. While orthodontics in Otford is commonly associated with straightening irregular or crooked teeth, it also addresses a range of other critical dental issues.
For instance, our orthodontic treatments effectively correct bite problems, align the jaw, and manage protruding teeth. By focusing on these essential aspects, we not only enhance the appearance of your smile but also improve overall dental function and alignment, ensuring long-term oral health and comfort.
Orthodontic treatment might be needed when:
- Teeth are misaligned or crooked, affecting both appearance and function.
- Your teeth positioning makes it difficult to keep your teeth and gums clean
- Bite problems, such as overbite, underbite, or crossbite, causing discomfort or difficulty chewing.
- Your self-confidence is affected by the position of your teeth
- You have an underbite, overbite, protruding teeth or crowded teeth
- Difficulty with speech or chewing due to malocclusion or misaligned teeth.
Benefits of Orthodontic Treatment
- A boost in self-esteem
- Better oral health
- Options available for patients of all ages
- Advanced technology, including discreet options for adults
- Reduce the risk of prominent teeth being damaged (with protruding issues)
Our Specialist
A consultation with our esteemed specialist, Dr. Gareth Williams, is available to explore your orthodontic treatment options. More information on this can be found by following the links provided below.
Fixed Braces
Fixed braces are one of the most popular orthodontic treatments, available in two main materials: metal and ceramic. These square-shaped brackets are securely bonded to the teeth and connected by a wire, held in place with small modules or loupes. By applying gentle, consistent pressure, fixed braces effectively move teeth into their desired positions.
Lingual Braces
Lingual braces are made from the same components as traditional fixed braces but are placed on the inside-facing surface of the teeth. This unique placement makes them practically invisible, offering a discreet treatment option. Many patients opt for Lingual Braces in Otford to straighten their teeth without the visibility of traditional braces.
Clear Aligners
Clear aligners, such as Invisalign and other leading brands, are designed to discreetly move your teeth into their ideal positions. These transparent, custom-made devices fit comfortably over your teeth and can be easily removed for eating and cleaning, offering added convenience and flexibility.
Other Removable Appliances
Other removable appliances offer the advantage of being easily taken in and out of the mouth, making them an effective tool for moving teeth, particularly in children who are still growing. These appliances are typically made from durable acrylic materials and include components like metal wires and springs.
Children’s Orthodontics in Otford
We offer comprehensive orthodontic services specifically tailored for children. Our range of treatments includes early or interceptive care for children as young as 7 to 9 years old.
For slightly older children, our experienced children orthodontists in Otford use their extensive knowledge to develop personalised treatment plans. This tailored approach ensures that, as your child grows, they receive the best care to achieve a beautiful, healthy smile. As a result, our treatments not only address immediate needs but also support long-term dental development.
Orthodontics For Children
Orthodontics in Otford can often benefit children as young as seven, although we typically wait until all the permanent teeth have emerged before beginning treatment. However, in some cases, early intervention is necessary. If this is the case, our orthodontist will carefully explain why early treatment is recommended to ensure the best possible outcome.
Book your appointment today and take the first step towards a healthier smile
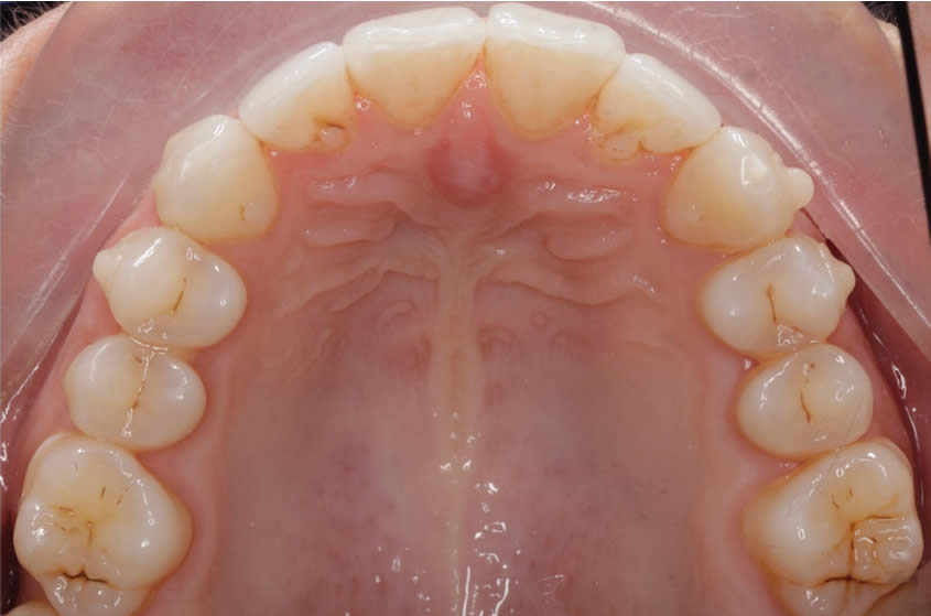
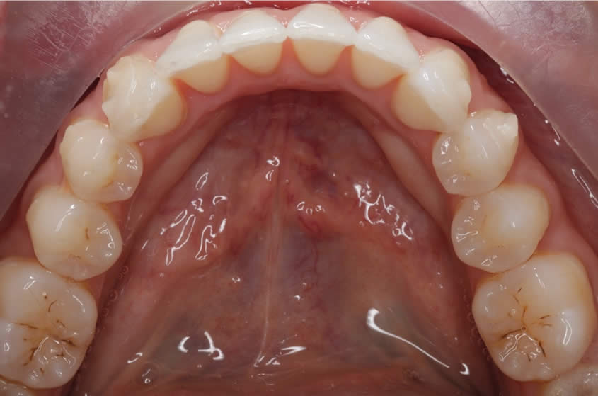
Patient Teeth Straightening Case
Teeth Straightening - Case 1

Teeth Straightening - Case 2

FREE Consultations for Cosmetic Treatments
Teeth straightening, cosmetic dentistry, and facial rejuvenation treatments
Align Your Smile, Align Your Confidence - AR Smiles Invisalign in Otford
Transform your teeth without metal braces using clear, comfortable aligners tailored to your unique smile. Our expert team in London provides personalized Invisalign treatments for a confident and natural-looking smile transformation. Schedule your consultation today and discover the benefits of Invisalign in Otford at AR Smiles.