Crowns & Onlays In Otford
High-quality dental crowns in Otford and onlays are excellent solutions for restoring the strength and appearance of damaged teeth. Not only do they repair and reinforce a tooth, but they also protect the remaining natural structure, ensuring long-term health and functionality. As a result, these restorations help preserve both the aesthetics and durability of your smile, seamlessly blending with your existing teeth.
Depending on your needs, crowns and onlays can be crafted from various materials, including tooth-coloured porcelain for a natural look or gold for enhanced durability. Throughout the process, experienced dentists will guide you, carefully explaining each option—its materials, benefits, and potential risks—so you can make an informed decision. Whether you need to repair a fractured tooth or restore one after a root canal, these solutions provide both function and confidence.
Crowns and onlays play a crucial role in preventing tooth fractures and relieving pain. Today, stress levels are higher than ever, leading to more teeth grinding. This weakens teeth and increases the risk of cracks and breakages. As a result, protecting your teeth is essential.
Onlays are a modern, minimally invasive alternative to dental crowns in Otford. They require less drilling than traditional crowns. This means more of your natural tooth structure is preserved. In many cases, dentists recommend onlays to strengthen teeth and prevent future fractures.
Book your appointment today to discover how crowns and onlays in Otford can protect your teeth and keep your smile strong!
Reasons For Crowns or Onlays
- Crooked, chipped or stained teeth
- Worn teeth
- Decayed tooth
- Cracked teeth
- Smile improvements
- Dental rehabilitations
Patient Crowns Cases
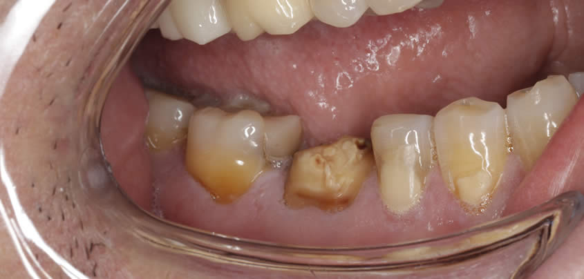
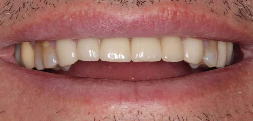
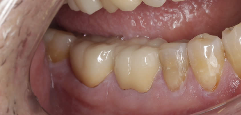
Crowns - Case 1

Crowns - Case 2

FREE Consultations for Cosmetic Treatments
Teeth straightening, cosmetic dentistry, and facial rejuvenation treatments
Align Your Smile, Align Your Confidence - AR Smiles Invisalign in Otford
Transform your teeth without metal braces using clear, comfortable aligners tailored to your unique smile. Our expert team in London provides personalized Invisalign treatments for a confident and natural-looking smile transformation. Schedule your consultation today and discover the benefits of Invisalign in Otford at AR Smiles.