Teeth Whitening in Otford
At AR Smiles Otford – Dental & Implant Centre, we are delighted to offer you a stunning smile upgrade with our safe and professional teeth whitening in Otford services, designed to deliver exceptional results. In fact, we proudly offer a unique treatment called Enlighten—a perfect combination of at-home and in-clinic techniques.
Additionally, at AR Smiles Otford, our friendly and caring dentists will take the time to create a tailor-made, personalised plan just for you. By catering to your requests, we ensure that each patient receives the exact outcome they’re hoping for, whether you’re looking for a subtle enhancement or a more dramatic transformation.
Moreover, if you’re searching for a painless and highly effective way to achieve a whiter smile, Enlighten Whitening at AR Smiles Otford could be the perfect option!

If you’re looking for a treatment to dramatically transform your smile, Enlighten teeth whitening in Otford is the perfect choice. This advanced treatment combines both at-home and in-clinic whitening for exceptional results.
Enjoy the flexibility of at-home treatments while benefiting from the expertise of in-clinic whitening. This combination ensures a radiant, brighter smile with minimal hassle. Enlighten teeth whitening in Otford offers the best of both worlds, making it easier than ever to achieve the stunning smile you’ve always desired at AR Smiles Otford – Dental & Implant Centre.
Why Consider Teeth Whitening?
Teeth whitening in Otford is an incredibly popular treatment at our clinic, largely because it is not only affordable but also quick and truly transformative. Many patients are drawn to this treatment for its ability to deliver noticeable results in a short amount of time. At AR Smiles Otford – Dental & Implant Centre, we pride ourselves on offering high-quality teeth whitening in Otford to help you achieve a brighter, more confident smile.
Reasons Patients Come To Us
Common reasons patients come to us for Enlighten whitening are
- An upcoming wedding or important occasion.
- Personal rewards for quitting smoking.
- A pick-me-up after a challenging time.
- Part of a full smile makeover plan.
- To remove natural teeth stains and shade darkening over time.
- Complete rejuvenation from our facial aesthetics treatments .
- Perfect and polish their smile aesthetic .
Why Enlighten?
It has some excellent benefits including:
- Minimal time in-clinic for treatment.
- Minimum sensitivity (often none).
- Suitable for any age or dental shade.
- Guaranteed White Teeth (Vita Shade B1).
- Uses ¼ less hydrogen peroxide than other methods
- No damage to your teeth and gums .
- Long-lasting results - 3+ years with maintenance .
The Process
- Consultation – Assessment of your teeth and Pictures. Discussion of each patient’s personal goals and how we can achieve this.
- Impressions/Moulds – this will allow us to make models of your teeth for your whitening trays.
- Week Whitening at home – normally overnight using professional Enlighten Gel.
- In Surgery Whitening Session – 60 Minute session
- Maintenance – your dentist will discuss with you how to maintain your new lovely teeth’s colour lifelong.
This process can lighten your teeth by up to 16 shades, giving you a dramatically brighter smile! However, if you prefer a more subtle transformation, we can easily adjust the treatment to suit your preferences. At AR Smiles Otford – Dental & Implant Centre, we’re flexible and customizable, ensuring the results are perfectly tailored to your desired outcome
Whether you want a subtle enhancement or a more noticeable change, we can fine-tune the whitening process to ensure it perfectly matches your vision.
The treatment we offer is not only safe but also highly effective, ensuring you’ll experience no unpleasant side effects—just a stunning, brighter smile. Moreover, maintaining your results is easy: simply wear your Enlighten trays overnight every 8 weeks to top up your treatment, adding a convenient layer of upkeep to your smile transformation.
What’s more, with the expertise of our caring dentist in Otford and the use of the most advanced, health-conscious whitening technology, we are confident that you will achieve the exact results you’re hoping for. This confidence is rooted in our commitment to providing the highest quality care and outstanding outcomes.
To get started, don’t hesitate to contact our friendly team at 019 5952 2509 to book your consultation. We look forward to helping you achieve the radiant smile you’ve always dreamed of!
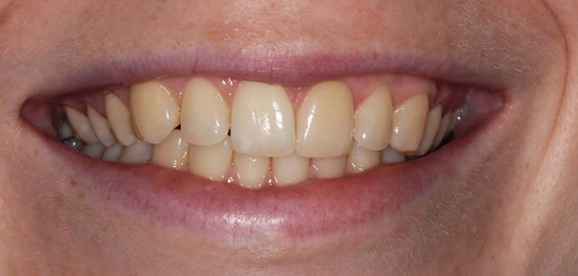
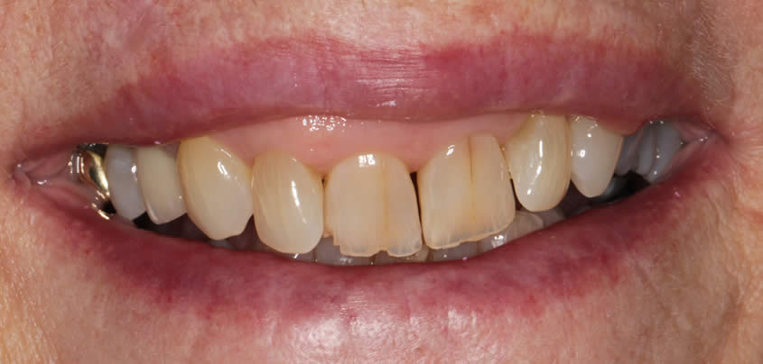
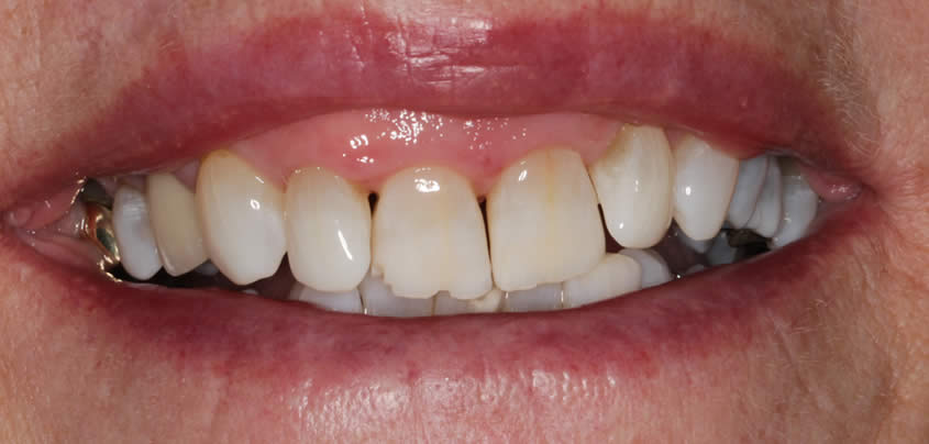
Patient Tooth Whitening Cases
Teeth Whitening - Case 1

Teeth Whitening - Case 2

FREE Consultations for Cosmetic Treatments
Teeth straightening, cosmetic dentistry, and facial rejuvenation treatments
Align Your Smile, Align Your Confidence - AR Smiles Invisalign in Otford
Transform your teeth without metal braces using clear, comfortable aligners tailored to your unique smile. Our expert team in London provides personalized Invisalign treatments for a confident and natural-looking smile transformation. Schedule your consultation today and discover the benefits of Invisalign in Otford at AR Smiles.