Cosmetic Dentistry In Otford
At AR Smiles Otford – Dental & Implant Centre, we have the technology, experience, and expertise to transform your smile and boost your confidence.
We specialise in cosmetic dentistry in Otford, offering advanced treatments such as veneers, Invisalign, teeth whitening, and composite bonding. These solutions effectively correct issues like crooked teeth, staining, and gaps, ensuring a natural and radiant smile. Every treatment plan is tailored to enhance your unique features and meet your specific needs.
With our personalised approach, you’ll receive a bespoke treatment plan that helps you achieve a smile you can truly feel proud of. Book a consultation today to discover how we can enhance your smile with expert cosmetic dentistry in Otford.
A Plan To Suit Your Needs
Each patient has unique expectations, needs, and smile goals. That’s why at AR Smiles Otford – Dental & Implant Centre, we prioritise understanding your individual requirements from the very start.
When you visit us for a smile assessment, our primary focus is to listen attentively. We take the time to understand:
- Your concerns about your current smile
- Your desired outcome and aesthetic goals
- Any specific preferences or expectations for treatment
Once we have gathered all this information and carried out a thorough examination, we may need to take X-rays or other diagnostic scans to assess your oral health in detail.
From there, we will provide you with a comprehensive treatment plan tailored to your specific needs. You will always have options to enhance and restore your smile, ensuring the best possible outcome for both aesthetics and functionality.
Reasons To Have A Smile Makeover
Multiple procedures can be included in dental rehabilitation including:
- Crooked, chipped or stained teeth
- A desire for a more ‘perfect’ smile
- A loss of confidence because of the condition of the ‘social six’ teeth
- Unhappiness with a specific issue, like gappy teeth, or a gummy smile
Smile Makeover Treatments
Most smile makeovers in Otford treatment plans will include one or more treatment types such as:
- Veneers
- Teeth Whitening
- Composite Bonding
- Invisalign or Other Orthodontics
A cosmetic smile makeover often focuses on the symmetry, colour, straightness, and overall condition of the front teeth. These are the most visible teeth, playing a key role in first impressions and daily interactions. As a result, when they do not look the way we would like, it can affect our confidence and self-esteem.
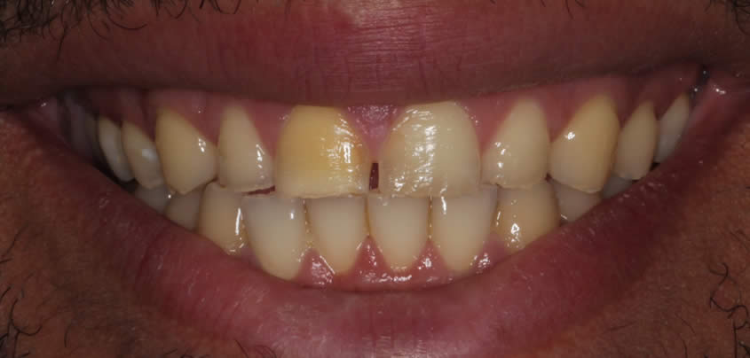
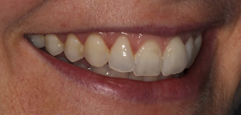
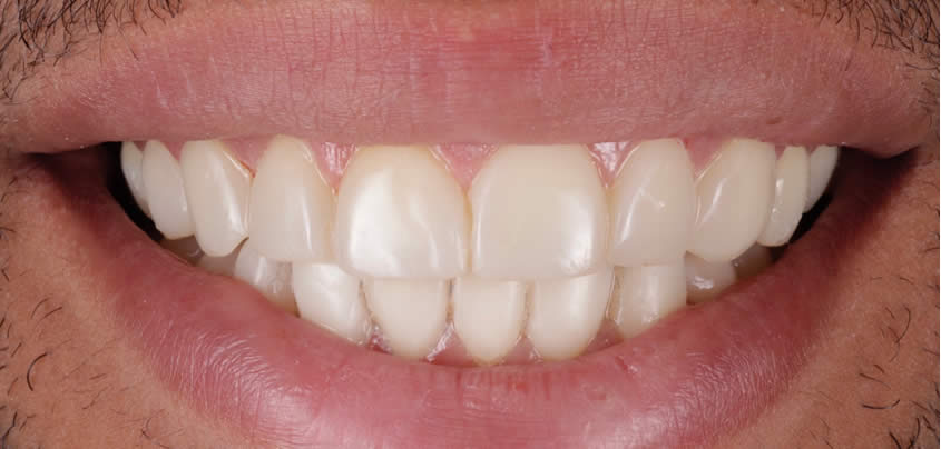
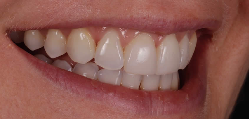
Patient Smile Makeover Case
Case 1

Case 2

Rehabilitative Dentistry
If your smile needs restoration due to missing teeth or periodontal issues, AR Smiles Otford – Dental & Implant Centre offers rehabilitative dentistry to bring it back to its best.
We combine treatments such as dental implants, crowns, and bridges with cosmetic procedures to create a comprehensive smile makeover in Otford. Our goal is to restore both the functionality and aesthetics of your smile, giving you renewed confidence and improved oral health.
Regardless of your current smile status there is always a treatment plan that will result in you having the beautiful, healthy, happy smile that you truly deserve.
If you are unhappy with your smile and perhaps your confidence is low as a result, then a smile makeover in Otford at AR Smiles Otford – Dental & Implant Centre is really worth considering. Why not call our team today on 019 5952 2509 to arrange a consultation with us to discuss the options? Your new smile journey could just be a few weeks away!
FREE Consultations for Cosmetic Treatments
Teeth straightening, cosmetic dentistry, and facial rejuvenation treatments
Align Your Smile, Align Your Confidence - AR Smiles Invisalign in Otford
Transform your teeth without metal braces using clear, comfortable aligners tailored to your unique smile. Our expert team in London provides personalized Invisalign treatments for a confident and natural-looking smile transformation. Schedule your consultation today and discover the benefits of Invisalign in Otford at AR Smiles.